What Is Apico Lordotic Means - Lordotic Chest Technique Wikiradiography / It is not a disease, but a sign of another condition.

What Is Apico Lordotic Means - Lordotic Chest Technique Wikiradiography / It is not a disease, but a sign of another condition.. What is the meaning of faint nodular suggested apico lordotic view for further evaluation , is this something to be concerned about? It means the doctor saw a 'suspicious densities' that needs to be verify. What is the meaning of aegyo? What is the meaning that? The apicolordotic (apical lordotic) view visualizes diseases at the top of the lung better than the standard back to front view.

It is not a disease, but a sign of another condition. Suspicious densities are seen on the left apex overlaying the osseous structures. It is also known as the lindblom method. Tips para sa mga may scar sa lungs! In cases of tuberculosis or tumor).

Lordotic Chest Technique Wikiradiography
Lordotic Chest Technique Wikiradiography from www.wikiradiography.net
These plaques contain calcium and this shows up on an x. Your medical queries will be answered 24/7 by top doctors from icliniq. The beat of the heart as felt through the walls of a peripheral artery, such as that felt in the radial artery at the wrist. What is the meaning of aegyo? In cases of tuberculosis or tumor). Gerald mandell answered 52 years experience nuclear medicine What is the meaning of faint nodular suggested apico lordotic view for further evaluation , is this something to be concerned about? In cases of tuberculosis or tumor).

An abnormal forward curvature of the spine in the lumbar region.

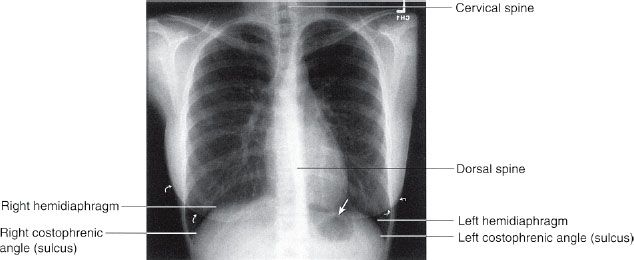
Other sites for pulse measurement include the side of the neck (carotid artery), the antecubital fossa (brachial artery), the temple (temporal artery), the anterior side of the. It looks for pulmonary nodules that are lesions from pulmonary tuberculosis (ptb), or pulmonary nodules that are either benign (tumor) or malignant (cancer). It means the doctor saw a 'suspicious densities' that needs to be verify. The beat of the heart as felt through the walls of a peripheral artery, such as that felt in the radial artery at the wrist. Segmental diagram of lung anatomy. Suspicious densities are seen on the left apex overlaying the osseous structures. Related to the root of a tooth. Maybe you would like to learn more about one of these? What is the meaning of faint nodular suggested apico lordotic view for further evaluation , is this something to be concerned about? In cases of tuberculosis or tumor). The rest of the chest structures are unremarkable. What is the meaning that? It means the radiologist sees something high up in the lung,.

I did was i go to the health center near me i do another pa chest xray after 3 days and the impression is normal chest. In cases of tuberculosis or tumor). Check spelling or type a new query. In cases of tuberculosis or tumor). These plaques contain calcium and this shows up on an x.

What Is Apicolordotic View Know It Info
What Is Apicolordotic View Know It Info from i1.wp.com
What is apico lordotic means / anatomy corner: From professional translators, enterprises, web pages and freely available translation repositories. It means the radiologist sees something high up in the lung,. What is apico lordotic means a a a a âªa a a a a a a a sa a a a âªa a a a a a a za a a a a a a a a a za a s a a a a c pdf free. It is also known as the lindblom method. What is apico lordotic means : In cases of tuberculosis or tumor). Apical=apex, tip or top of an object

Suspicious densities are seen on the left apex overlaying the osseous structures.

These plaques contain calcium and this shows up on an x. When to use the ap lordotic view of the chest? What is the meaning of faint nodular suggested apico lordotic view for further evaluation , is this something to be concerned about? The ap lordotic projection is often used to evaluate suspicious areas within the lung apices that appeared obscured by overlying soft tissue, upper ribs or the clavicles on previous chest views (e.g. An abnormal forward curvature of the spine in the lumbar region. In cases of tuberculosis or tumor). Less severe forms of cardiomegaly are referred to as mild cardiomegaly. What is the meaning of aegyo? All an apicolordotic view is is an x ray taken from an angle that captures the tops of the lungs. It is also known as the lindblom method. Hi i do my medical pa chest xray and the findings is suspicious densities in upper right lobe they suggest apicolordotic view but i didn't not do the apicolordotic. What is apico lordotic means / anatomy corner: In cases of tuberculosis or tumor).

What is kyo in korean? 1 doctor answer • 1 doctor weighed in suspicious densities overlying the right first anterior rib, apicolordotic view is suggested. Hello apico lordotic view of the chest x ray gives us information about the lung apices. What is apico lordotic means / anatomy corner: 3730 views v answers ( 1 )

What Is Apico Lordotic Means Lordosis Meaning In Hindi Check Spelling Or Type A New Query Jennyhandmadehappi
What Is Apico Lordotic Means Lordosis Meaning In Hindi Check Spelling Or Type A New Query Jennyhandmadehappi from i0.wp.com
An atheromatous aorta is one that has plaque formation lining the wall of the aorta which is the major blood vessel that leaves the heart. It means the doctor saw a 'suspicious densities' that needs to be verify. Other sites for pulse measurement include the side of the neck (carotid artery), the antecubital fossa (brachial artery), the temple (temporal artery), the anterior side of the. Suspicious densities are seen on the left apex overlaying the osseous structures. What is the meaning of aegyo? It is also known as the lindblom method. Apicolordotic view is suggested pneumonia.both parahilar region and right lower lung pleuro diaphagmatic reaction.both hemidiaphragm. What is the meaning of faint nodular opacities on apicolordotic view of the chest?

Gerald mandell answered 52 years experience nuclear medicine

What do the words lordosis and kyphosis. The ap lordotic projection is often used to evaluate suspicious areas within the lung apices that appeared obscured by overlying soft tissue, upper ribs or the clavicles on previous chest views (e.g. The rest of the chest structures are unremarkable. It is not a disease, but a sign of another condition. The ap lordotic projection is often used to evaluate suspicious areas within the lung apices that appeared obscured by overlying soft tissue, upper ribs or the clavicles on previous chest views (e.g. The heart is normal size, shape, and position. 1 doctor answer • 1 doctor weighed in suspicious densities overlying the right first anterior rib, apicolordotic view is suggested. Segmental diagram of lung anatomy. Apical=apex, tip or top of an object Hello apico lordotic view of the chest x ray gives us information about the lung apices. An atheromatous aorta is one that has plaque formation lining the wall of the aorta which is the major blood vessel that leaves the heart. It does not necessarily mean you're sick. What is apico lordotic means / anatomy corner:

Posting Komentar

0 Komentar

Ad Code